• Tel: 858.663.9055
  • SeparatorEmail: info@nsjbio.com
  • Tel: 858.663.9055
  • Email: info@nsjbio.com
Home >> Antibodies >> S6K Antibody [RPS6KB1]

S6K Antibody [RPS6KB1] (R34750)

  Catalog No Formulation Size Price (USD)  
Image R34750-100UG 0.5 mg/ml in 1X TBS, pH7.3, with 0.5% BSA (US sourced) and 0.02% sodium azide 100 ug 475
Bulk quote request
Western blot testing of human placenta lysate with S6K antibody at 0.05ug/ml. Predicted molecular weight: ~59kDa, routinely observed at 59-70kDa.
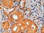
IHC staining of FFPE human kidney with S6K antibody at 2ug/ml. HIER: steamed with pH6 citrate buffer, HRP-staining.
Western blot of mouse NIH3T3 cell lysate with S6K antibody at 0.1ug/ml. Predicted molecular weight: ~59kDa, routinely observed at 59-70kDa.
Western blot of rat brain lysate with S6K antibody at 1ug/ml. Predicted molecular weight: ~59kDa, routinely observed at 59-70kDa.
Availability 1-3 business days
Species Reactivity Human, Mouse, Rat
Predicted Reactivity Cow, Dog
Format Antigen affinity purified
Host Goat
Clonality Polyclonal (goat origin)
Isotype Goat Ig
Purity Antigen affinity
Gene ID 6198
Applications Western Blot : 0.05-0.1ug/ml
Immunohistochemistry (FFPE) : 2-4ug/ml
ELISA (peptide) LOD : 1:8000
Limitations This S6K antibody is available for research use only.
Review this product on BioCompare and get a $20 Amazon gift card

Related Products

Description

Additional name(s) for this target protein: Ribosomal protein S6 kinase, 70kD; p70 S6 kinase alpha; RPS6KB1

Application Notes

Optimal dilution of the S6K antibody should be determined by the researcher.

Immunogen

Amino acids MISKRPEHLRMNL were used as the immunogen for this S6K antibody.

Storage

Aliquot and store the S6K antibody at -20oC.

Cross
Bulk Quote Request Form
Name*:
Organization*:
Email*:
Phone Number*:
Catalog No.*:
Comments and Specifics(amount, formulation, etc.)*:
Validation code: Captchapackage Image


Can't read the image? click here to refresh.
    *required field

Your bulk quote request has been submitted successfully!

Please contact us if you have any questions.